-
Frei Otto: Dach für die Multihalle Mannheim Kendel_Otto Frei Otto: Dach für die Multihalle Mannheim -
Kurt Koegel: Fashion-Architecture Koegel Kurt Koegel: Fashion-Architecture -
Robert Wechsler und Frieder Weiss: Experiment mit Körpersensoren Wechsler_Weiss Robert Wechsler und Frieder Weiss: Experiment mit Körpersensoren -
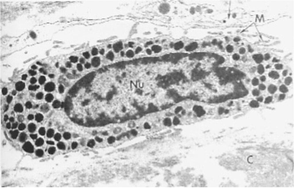
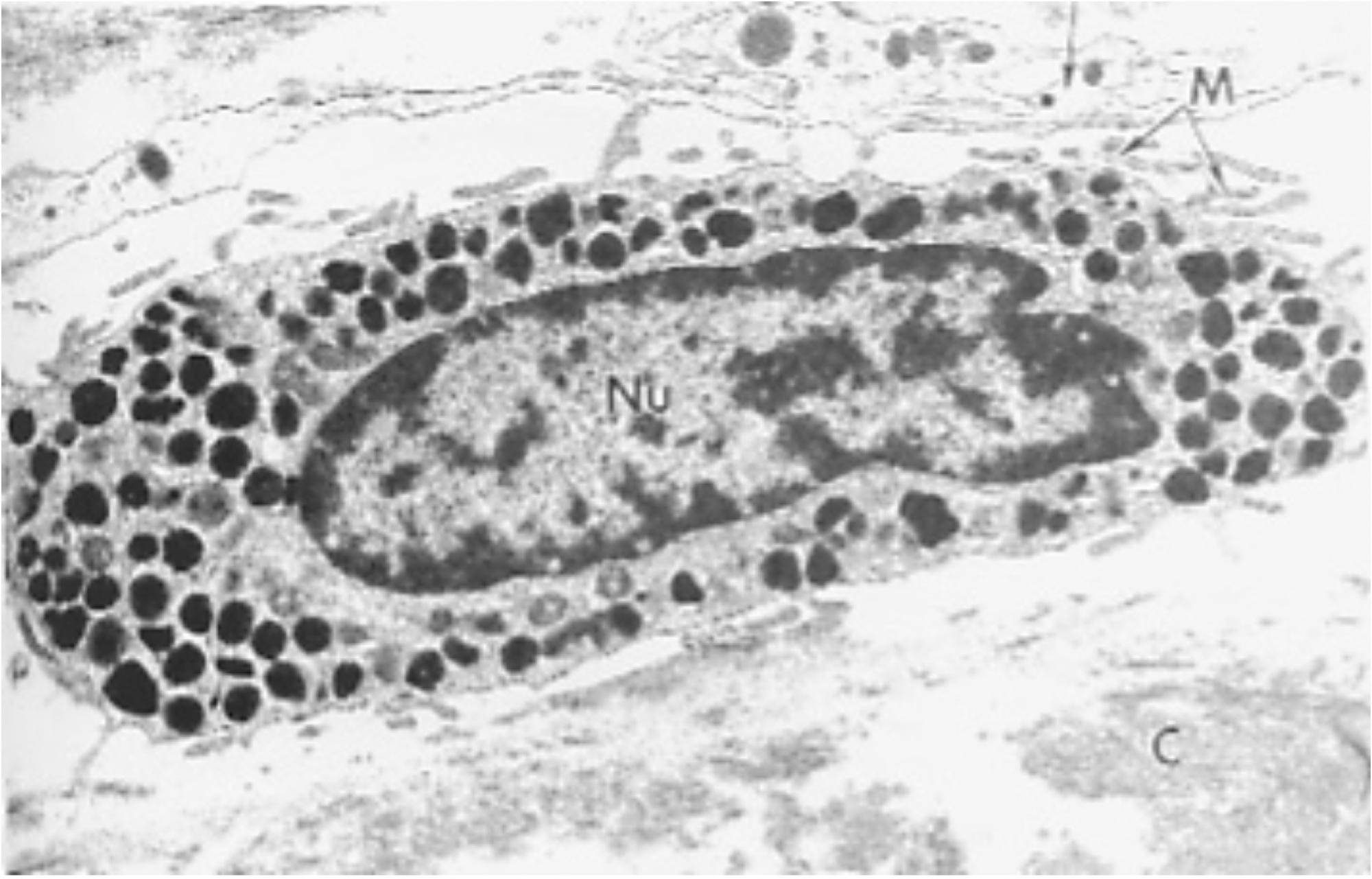
Mastzelle mit Granula Neuhuber Mastzelle mit Granula -
tanzdrama 65, S. 34 tanzdrama 65, S. 34 tanzdrama 65, S. 34 -
Hamburger Abendblatt, 14.05.2002 Presse c Hamburger Abendblatt, 14.05.2002 -
taz hamburg, 08./09. Mai, 2002 Presse d taz hamburg, 08./09. Mai, 2002
Titel
*BAU *KÖRPER *BEWEGUNG III
Untertitel
Haut und Membran in Tanz und Architektur
Jahr
Ort
Veranstaltungsort
Beschreibung
Was den Häusern die Wände ist dem Körper die Haut. Der Vergleich lohnte sich und neben Architekten und Tänzern wurde deswegen auch ein Anatom zur dritten Tagung über Tanz und Architektur eingeladen.
Vortragende / Themen
Hermann Kendel (Partner von Frei Otto, München)
Leichte Flächentragwerke in der Architektur – Der Beitrag von Frei Otto
Leonore Herfurth (Kunsthistorikerin, Skalalogin)
Treppen als architektonische Membranen – Realität und Vision
Kurt Koegel (Tänzer u. Choreograf, Tanzfabrik Berlin)
Transparency in Structure and Expression
Thorsten Bremer (Architekt, Hamburg)
Ein Tanzhaus – Bewegung in Relationen
Michaela Groth / Jan Haarmann (Architektin / Architekturstudent, Hamburg)
Die Haut der Erde durchstoßen – Denkräume zu Heiner Müllers „Germania Tod in Berlin“
Robert Wechsler (Tänzer und Choreograf), Frieder Weiss (Digitale Kunst, Nürnberg)
Haut und elektronischer Impuls
Winfried Neuhuber (Anatom, Universität Erlangen)
Die Haut als sinnliche Grenze
Darsteller
Hermann Kendel | Kurt Koegel | Leonore Herfurth | Michaela Groth | Robert Wechsler | Thorsten Bremer | Winfried Neuhuber







